HIPJOINT
股関節とは?
1.股関節の構造
股関節は太もものつけ根にある大きな関節です。「体幹」と呼ぶ胴体と、「下肢」と呼ぶ2本の脚をつないでくれています。骨や軟骨などのさまざまな組織が組み合わされて構成される、単体では人体最大の関節でもあります。大きな骨「骨盤」の両側には、球形のボールを押し当ててへこませたかのようなくぼみがあります。
この部分は臼(うす)のような形をしていることから「寛骨臼(かんこつきゅう)」といい、このくぼみの部分に太ももの骨「大腿骨(だいたいこつ)」の先端がピタリと収まるようになっています。
大腿骨の側をみると、寛骨臼に収まる部分だけがボール状に飛び出しています。この部分は「大腿骨頭(だいたいこっとう)」といい、丸くて滑らかな形状をしているのでグルグルと自由に動けるようになっています。骨盤側のへこみ(寛骨臼)と、太もも側の大腿骨頭の表面にはそれぞれに関節軟骨がついており、骨の滑りをよくしたり、クッションとして働いたりしています。そして、この接合部は滑膜(かつまく)という膜や関節包
(かんせつほう)という繊維状の組織で包み込まれて完全に密閉されており、軟骨と軟骨の間のすき間は液体(関節液)で満たされています。
この関節液が関節軟骨に栄養を与え、関節の運動を滑らかにし、軟骨を保護しています。
これが股関節の基本的な構造となります。
さらには、いくつもの筋肉や靭帯(じんたい)がこの股関節を取り囲むように配置され、股関節を安定化させる働きをしています。また、体幹と下肢をつなぐ太い血管やリンパ管、神経などもそのすぐ近くをとおっています。(写真1、図1)

図1(股関節)

写真1
2.股関節の動き
股関節はあらゆる方向に動くことが可能です。屈曲、伸展、外転、内転、外旋、内旋の6方向が基本で、股関節の動きをこの6方向に分け、組み合わせて表すことが可能です。
股関節を動かすのは筋肉です。
いわばエンジンにあたります。6方向に動かすのに多くの筋肉が関係しています。(図2,3)

図2

図3
股関節の病気
股関節の痛みを引き起こす病気は数多く、特発性大腿骨頭壊死症、関節リウマチ、外傷性股関節脱臼骨折、大腿骨頚部/転子部骨折、腰椎疾患、ひざ関節疾患などあります。
最も多いのは変形性股関節症による痛みです。当院を訪れる患者さんの実に90%以上は変形性股関節症です。
最初のうちは長く歩いたとき、立ったり歩いたりの動作の始めなどに限って痛む状態ですが、病気が進行すると慢性的な激しい痛みを生じるとともに、歩行や日常的な生活にも大きな支障を引き起こしてしまいます。
変形性股関節
変形性股関節症は股関節に進行性の変化が起こる病気です。股関節には、起立歩行時に体重の数倍もの負担がかかるので、その構造にわずかな変形が生じても、荷重によって関節の破壊が起きます。これに対して生体には複雑な反応が起こり、破壊と修復現象が混在することによって股関節に変形が発生します。明らかな原因がなく発症した場合を一次性変形性股関節症、基礎疾患によって発症した場合を二次性変形性股関節症と呼びます。二次性変形性股関節症の原因としては、発育性股関節形成不全、臼蓋形成不全、化膿性股関節炎、結核性股関節炎、関節リウマチ、骨折・脱臼などの外傷、ぺルテス病、特発性大腿骨頭壊死症、大腿骨頭すべり症などがあります。日本における変形性股関節症の有病率は1.0~4.3%、男性は0~2.0%、女性は2.0~7.5%と女性に高い傾向があります
。発症年齢は40~50歳です 。変形性股関節症には遺伝の影響があり、日本人における変形性股関節症との関連が報告された遺伝子はCALM1とGDF5です 。発症の危険因子として、重量物の運搬、臼蓋形成不全、発育性関節形成不全、スポーツ、肥満が指摘されています 。変形性股関節症と骨粗鬆症との関連については不明です。変形性股関節症では変形性ひざ関節症の発症リスクが高くなります 。
変形性股関節症の進行の仕方を、少し詳しく説明しておきましょう 。
【前期】(写真2)
臼蓋形成不全だけがある状態です。

【前期】(写真2)
【初期】(写真3)
初期段階の変形性股関節症では、なんらかの原因によって股関節を構成する軟骨の表面が部分的に傷つき、削られます。すると、損傷部位を修復するために白血球などが集まって炎症が起こり、ブラジキニンやプロスタグランジンといった痛みや炎症を引き起こす生理活性物質がつくられます。これらが、関節包や滑膜、靭帯、軟骨下骨(関節軟骨の下部に位置する骨)などにある痛みを感じる神経(侵害受容器)を刺激し、痛みを引き起こすのです(関節軟骨自体には痛みを感じる侵害受容器はありません)。主に、これら滑膜や靭帯などの炎症によって股関節が痛む段階が、変形性股関節症の初期段階です。部分的に傷つき削られているとはいっても、まだ関節軟骨は残っており、寛骨臼にも大腿骨頭にも大きな変形はありません。レントゲン写真では寛骨臼と大腿骨頭のすき間も、部分的に狭くなり始めています。

【初期】(写真3)
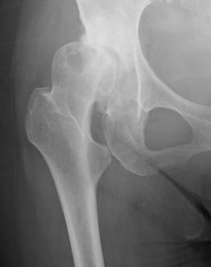
【進行期】(写真4)
初期段階の変形性股関節症から股関節の状態は次第に悪化していきます。関節軟骨がさらに削られ部分的になくなってしまい、骨と骨とが直に接触してしまう箇所が出ててきます。寛骨臼や大腿骨頭には、骨に小さな変形が起きて「骨棘(こっきょく )」という突起ができ始めていることもあります。骨の内部では骨嚢胞ができ始めて空洞化が進みます。また、軟骨のすり減りによって引き起こされる滑膜や靭帯の炎症のほか、骨の表面にある「骨膜(こつまく)」という痛みを感じる組織も刺激されるので、ほとんどのケースで強い痛みを慢性的に感じるようになります。立ったり歩いたりすることに困難を感じ始めるのもこの頃です。この段階でレントゲン写真を撮ると、寛骨臼と大腿骨頭のすき間が非常に狭くなっているのが判別できます。

【進行期】(写真4)
【末期】(写真5)
時間とともに股関節の状態はさらに悪化し、末期的な段階にまで達します。関節軟骨はほとんど消えてなくなってしまい、骨と骨が完全にぶつかり合うようになります。関節軟骨には痛みを感じる神経はありませんが、その下にある骨には痛みを感じる神経があるので、こうなると余計に痛みを感じるようになります。さらに、骨同士の接触面には間にクッションの役目を果たす組織が何もないことから、双方がどんどん傷ついて削れ、変形していきます。骨棘も数多く形成され、骨の内部が空洞化する骨嚢胞も多数でき、そのサイズも大きくなります。この段階でレントゲン写真を撮ると、関節のすき間が消失してみえなくなっており、そのために外見からも、両下肢の長さが明らかに異なっているのがわかるようになります(片方の股関節のみに症状がある場合)。この段階でも、患者さんは激しい痛みを感じます。ただ、あまりに長期間治療をせずに痛みを我慢し続けていると、押しつけられた骨と骨とが癒着して固定化され、関節の動きがかなり制限されるようになるため、逆に痛みを感じなくなることもあります。ただしこの場合には、股関節の骨が固まってしまっているわけですから、当然、もはや股関節は正常な働きをせず股関節の動きは悪くなっています。

【末期】(写真5)
変形性股関節症の治療
治療は手術的治療と手術を行わない保存的治療があります。
①保存的治療
痛みは運動時、歩行時に出現することが多いので、歩行時には股関節への負担を少なくするために杖を使用します。杖は痛みのある側と反対側の手に持ちます。例えば左股関節痛の場合は右手に杖を使用します。杖の長さは肘が軽度屈曲している長さがいいでしょう。両側の股関節痛や痛みが非常に強い場合は両手に杖を持つのが有効です。
運動療法は、股関節痛の緩和、筋力増強による機能障害、歩行障害の改善、可動域の改善などを目的に行われます。短期的、中期的には痛みの緩和、機能の改善に有効なのですが 、長期的な効果や病気の進行予防に効果があるかどうかは不明です。貧乏ゆすり体操(ジグリング)は症状の改善が得られることが報告されてはいますが、質の高いエビデンスがなく今後の研究が待たれるところです 。
薬物療法の目的は炎症を和らげ痛みや日常生活を改善することです。しかし、薬物療法では軟骨を再生させたり、骨の変形を修復することはできません。つまり、変形性股関節症自体を治したり、進行を予防することはできないということです。また、薬物には無視できない副作用があり、あくまでも期限を区切って行われる対症療法です。薬物には表のようなものがあり、医師の指示のもと使用してください(表1) 。

表1
②手術的治療(表2)
病期が進行した場合は保存的治療では限界があり、手術的治療が行われます。病期が前期から初期では、骨切り術などが、進行期、末期の場合は人工股関節置換術が行われます。

表2
人工股関節
変形性股関節症の病状が進行期や末期的段階にあり、強い痛みがある場合に適応になります。
手術の内容は、骨が大きく変形して、軟骨組織も消失してしまった股関節を外科的に取り除き、人工的な股関節に置き換えるというものです。
痛みの原因になっている部分をすべて人工のものに取り替えますので、手術後は多くの場合股関節痛が改善します。
術後ある程度の期間(数ヶ月程度)が経過すれば、激しいスポーツでなければ運動も自由にできます。
立ったときや歩くときの姿勢も劇的に改善され、見た目からも見違えるケースが多いです。当院の場合、入院期間は4日~12日間程度です。
人工股関節は、大腿骨側と骨盤側の2つに分かれ、金属やセラミック、高密度ポリエチレンなどで作られています。人工関節を骨に固定する方法には、骨セメントを使うセメント固定と、骨セメントを使わないセメントレス固定の2つの方法があり、両者の手術後臨床成績は同じです。
当院では骨セメントを使わずに、人工股関節と骨が直接結合するセメントレス方法を採用しております。

写真6(人工股関節)
MIS
MISはMinimally Invasive
Surgery(最小侵襲手術、極小侵襲手術、小切開手術などと訳されます)の略です。
従来の一般的な手術法では15~20cmの傷を必要としましたが(写真7)、MISでは約7cm(写真8)と1/3~1/2程度です。
この結果、筋肉や皮膚へのダメージが非常に少なくなり、入院期間が短く、美容的に良好で、早期に社会復帰できるようになりました。
わたくしどもでは2003年からMISによる人工股関節手術(置換術)を始め、現在(2018年)まで7000件以上の手術を行っています。
写真7(20cmの傷の通常手術)
写真8(7cmの傷が1つあるMIS)
手術進入法
人工股関節手術(置換術)の手術進入法として、前方、前外側、外側、後方進入法があります。かって筋腱を切らないとされる前方および前外側進入法は術後脱臼率が低く、術後回復が早いと言われていたことがありましたが、関節包、外旋筋群を修復した後方進入法と比べると、脱臼率や術後臨床成績に差がないことが分かりました 。経験豊かな医師による手術が最も手術成績が良く、合併症発生率が低いことが明らかになっています。
自己血貯血
人工股関節手術(置換術)には輸血を必要とすることが多いのですが、当院の方針として輸血をしないように、手術前から患者さんご自身の血液をあらかじめ貯めておき、手術による出血をすべてご自分の血液(自己血)で補い、さらに手術中に出血した血液をできるだけ回収し患者さんに戻しています。このような方法で手術した場合、輸血回避率はほぼ100%です
人工股関節手術(置換術)における合併症
医療過誤がなくても合併症が起こり得ます。( )内は現在まで世界中から報告されている合併症発生頻度です。
手術中骨折(5%):
人工股関節を設置するときに骨盤や大腿骨に骨折を生じることが稀にあり、ワイヤや金属性プレートを使用して治療を行うことがあります。
脱臼(2~3%):
脱臼した場合、麻酔をかけて整復(元に戻すこと)します。通常、手術の必要はありません。一般的には2~3%の脱臼率ですが、当院での手術による脱臼率は1%未満です。
下肢深部静脈血栓症(10~20%):および肺塞栓症(0.5%):
下肢の静脈や肺の血管に血の塊(血栓)ができる現象です。血栓がある場合、抗凝固薬による治療が必要です。予防が重要で、手術後には弾性ストッキング、フットポンプ、血栓予防薬を使用します。
感染(1%以下):
稀に細菌による感染が発生することがあります。予防としては術前、術後に抗生剤を使用します。
人工関節のゆるみ(10年で5%):
時間が経過するにつれ人工股関節周囲の骨に隙間、「ゆるみ」が発生することがあり、人工股関節を取り替える手術(再置換術)が必要になります。
人工関節の磨耗:
高密度ポリエチレンという人工軟骨が1年間に0~0.1mmで磨耗します。磨耗が激しい場合は手術によってポリエチレンの交換をします。
骨溶解(10年で5~30%):
磨耗したポリエチレンの微粒子が股関節の骨を弱くすることがあります。
神経麻痺(1~4%):
手術後に下肢のしびれや筋力低下という神経症状が出現することがあります。
血管損傷(0.3%以下):
人工股関節を挿入する際、血管を傷つけ出血する場合があります。
下肢長不等(50%以下):
人工股関節を挿入するとき、手術前の程度に応じて下肢の長さを伸ばします。逆側に比べて短い場合はできるだけ下肢の長さを揃えるようにします。
腫脹・皮下出血(およそ100%):
手術後の腫れ(腫脹)や内出血(皮下出血)で、次第に消失していきます。
偽腫瘍(0~7%):
金属の摩耗粉によって発生すると考えられ、痛みがある場合は再手術を必要とすることがあります。
異所性骨化(1~53%):
股関節の周囲に骨ができる現象で、日本人には非常に少ないといわれています。
入院治療の流れ
当院では4日から12日間の入院期間で治療を行っています。午前中に手術を受けた患者さんは、その日の夕方から、午後に手術を受けた患者さんは翌日から歩行訓練などのリハビリテーションを始めます。入院中は毎日、筋力訓練、ストレッチ体操、日常生活動作訓練(階段昇降、入浴、靴下履きなど)を行います。
退院後
入院中に患者さんご自身が退院後に行う筋力訓練、ストレッチ体操などを指導します。歩行時の杖の使用は退院後数日から3か月程度(個人差があります)です。退院当日から、車、バス、JR、飛行機を利用することができます。車の運転、自転車の使用は退院後の回復具合をみて主治医がその時期を決定します。およそ2年毎に診察、検査を行います。
- 吉村典子ほか:日本骨形態計測学会誌 1994:4:107-12
- 斎藤昭ほか:臨整外 2000:35:47-51
- 小林千益ほか:整形外科 1994:45:814-8
- Mototani H et al: Hum Mol Gene 2005: 14(8): 1009-17
- Miyamoto Y et al: Nat Genet 2007: 39(4): 529-33
- Yoshimura N et al: J Rheumatol 2000: 27(2): 434-40
- Shakoor N et al: Arthritis Rheum 1996: 46(12): 3185-9
- 石部基実:股関節の痛みは治る!:2013:すばる舎
- Hernandez-Morina G et al: Arthritis Rheum 2008: 59: 1221-8
- 広松聖夫ほか:Hip Joint: 2014: 40: 70-8
- 石部基実:夢21 股関節痛:2018:12」73
- Kwon MS et al: Clini Orthop Relat Res 2006: 447: 34-8
- Palan J et al: Clini Orthop Relat Res 2009: 467: 473-7
- Azeem TM et al: J Arthroplasty 2018: 33: 3329-42
監修者:石部基実クリニック 石部基実院長